Мало кто может похвастаться безупречной внешностью без родинок, папиллом и других новообразований. В прошлые столетия родинки считались признаком чувственности. Времена меняются, и сейчас все больше людей задаются вопросами: можно ли удалять родинки и какое удаление родинок лучше?
Попробуем разобраться в этих тонкостях вместе со специалистами сети медицинских клиник "МедЦентрСервис".
Справка о клинике

МедЦентрСервис — это сеть многопрофильных клиник мужского и женского здоровья.
Во всех клиниках МедЦентрСервис пациенты получают квалифицированную помощь по всем основным направлениям современной медицины. В клинике проводятся диагностика и лечение различных видов заболеваний и нарушений мочеполовой и иммунной систем, кожных и аллергических заболеваний, органов кровообращения и пищеварения, терапия, гомеопатия, удаление родинок и косметологические процедуры.
Высококлассные лечебно-диагностические центры, оснащённые современными техническими средствами, позволяют проводить максимально точные исследования организма и выявлять текущие заболевания. На основе полученных данных опытные врачи разрабатывают необходимый курс лечения, который вернёт пациента к полноценной здоровой жизни.
Родинки на теле: причины появления
Не будет преувеличением заявление, что родинки есть у каждого человека старше 10 лет. При изменении гормонального фона едва заметные пигментные пятна разрастаются и меняют окрас на любой части тела, в том числе слизистых оболочках. В медицинской среде данные пигментированные новообразования из клеток между дермой и эпидермисом называют невусами. Специалисты делят родинки на несколько категорий, в том числе врожденные и приобретенные.
Врачи считают, что существует несколько причин образования приобретенных темных родимых пятен:
- наследственность;
- ультрафиолетовое излучение;
- любые гормональные изменения;
- вирусы и травмы.
Из-за различия причин возникновения, цвета, размеров, структуры и скорости роста не все родинки можно назвать безопасными. Постоянное травмирование, чрезмерное воздействие ультрафиолетовых лучей, скопление рядом большого количества родинок повышают шансы перерождения новообразований в злокачественные. Происходящие с невусами процессы всегда настораживают, поэтому удаление родинок вызывает закономерные опасения. В каких же случаях можно удалять родинки?
- вероятность травмирования;
- неэстетический вид;
- превращение в злокачественную.
«Спокойные» родинки обладают темной окраской и практически не выступают над поверхностью кожи, они доставляют неудобство только своим расположением в местах трения одежды. При возникновении подозрительных симптомов следует незамедлительно обратиться к врачу, который после тщательного обследования назначит удаление родинки.
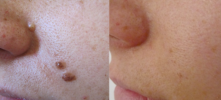
Фото до и после удаления родинок
Удаление родинок выполнено ведущими специалистами МедЦентрСервис
Способы удаления родинок
Родинки не терпят лечения в домашних условиях. Любое отклонение от привычного внешнего вида требует наблюдения онколога с оценкой динамики и последующим иссечением. Современная медицина предлагает несколько методов избавления от родинок, при этом у каждого из них есть как достоинства, так и недостатки.
Удаление родинок лазером
С помощью специальной лазерной установки врач за несколько секунд снимает слои небольшой родинки до образования ранки, большие родинки подлежат многократной обработке лазером через несколько недель. На месте удаленной родинки появляется тонкая корочка, исчезающая через несколько дней. Лазер безболезненно устраняет новообразование и способствует регенерации тканей, не провоцируя кровотечение и пигментацию. Одним из недостатков метода являются шрамы и невозможность исследования иссеченного материала на наличие злокачественных клеток.

Удаление родинок жидким азотом
Криодеструкция – удаление родинок низкими температурами, например, жидким азотом. Короткая процедура подходит только для новообразований небольшого размера в верхних слоях эпидермиса. Холод нарушает кровообращение и разрушает защитные функции клеток, что приводит к исчезновению родинки. Несмотря на кажущуюся легкость использования жидкого азота, нередко после криодеструкции возникают осложнения – повреждение здоровых тканей, воспаление и аллергические реакции.
Радиоволновое удаление родинок
Аппаратный метод удаления маленьких новообразований, появившихся на поверхности кожи. Под местным наркозом высокочастотные волны без кровотечения разрезают ткани родинки, не повреждая окружающие здоровые ткани. Плюсом данного способа считается безболезненность вмешательства, отсутствие шрамов и осложнений. При значительных плюсах радиоволновое удаление новообразований нельзя использовать при подозрении на злокачественные клетки.
Хирургическое удаление родинок
Наиболее старый способ, применяемый для удаления больших плоских родинок с подозрением на злокачественность. Эти новообразования вырезают под наркозом вместе с прилежащими тканями. После удаления родинки врач сшивает края раны, а швы снимает через неделю. Хирургический метод довольно травматичен, оставляет рубцы и шрамы, но при этом позволяет взять ткани на анализ.

Последствия удаления родинок
Удаление родинок — серьезная операция, требующая от врача специальных знаний и высокого профессионализма. К сожалению, удаление родинок недобросовестным доктором может приводить к негативным последствиям, таким как:
- келоидные рубцы;
- отеки;
- возвращение новообразований на это же место.
Чтобы не возникало вопроса, опасно ли удалять родинки, важно доверить эту процедуру врачу со специализацией онколога.
Реклама. ООО «МЕДЦЕНТРСЕРВИС». ИНН7704184928. Erid:2SDnjdpxmSY
Фото: freepik.com - wavebreakmedia_micro, cookie_studio
Попробуем разобраться в этих тонкостях вместе со специалистами сети медицинских клиник "МедЦентрСервис".
Попробуем разобраться в этих тонкостях вместе со специалистами сети медицинских клиник "МедЦентрСервис".




Выход


